Du 20/03/2026 au 04/12/2026
5 JOURS ⇒ 2 MODULES DE 2 JOURS + 1 JOUR MASTERCLASS
FORMATION EN PRÉSENTIEL 30 PLACES (limitées)
MARS - JUIN + MASTERCLASS 2 OCT. ou 4 DÉC. 2026
LIEU DE FORMATION : ESPACE SAINT-MARTIN PARIS 3e
9ème édition formation DERMATOLOGIE BUCCALE 2026
Du 11/12/2025 au 12/12/2025
JEUDI 11 ET VENDREDI 12 DÉCEMBRE 2025
DEUX JOURS ⇒ 30 PLACES maximum
FORMATION CONTINUE EN PRÉSENTIEL EN DPC
EN PRÉSENTIEL À L'HÖTEL SOFITEL PARS ARC-DE-TRIOMPHE
En savoir plus
Du 21/03/2025 au 05/12/2025
5 JOURS ⇒ 2 MODULES DE 2 JOURS + 1 JOUR MASTERCLASS
FORMATION EN PRÉSENTIEL 30 PLACES (limitées) ÉDITION n°8
21-22 MARS - 20-21 JUIN + MASTERCLASS [une date de votre choix 3 octobre ou 5 décembre 2025]
LIEU DE FORMATION : ESPACE SAINT-MARTIN PARIS 3e
8ème édition formation DERMATOLOGIE BUCCALE 2025
Du 12/12/2024 au 13/12/2024
JEUDI 12 ET VENDREDI 13 DÉCEMBRE 2024
DEUX JOURS ⇒ 30 PLACES maximum
FORMATION CONTINUE EN PRÉSENTIEL DPC
EN PRÉSENTIEL À L'HÖTEL SOFITEL PARS ARC-DE-TRIOMPHE
Formation DERMATOLOGIE BUCCALE DPC 2024
En savoir plus
Du 14/12/2023 au 15/12/2023
DEUX JOURS EN DERMATOLOGIE BUCCALE
FORMATION CONTINUE EN PRÉSENTIEL HABILITÉE DPC
JEUDI 14 ET VENDREDI 15 DÉCEMBRE 2023
Formation DERMATOLOGIE BUCCALE DPC 2023
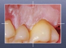
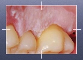
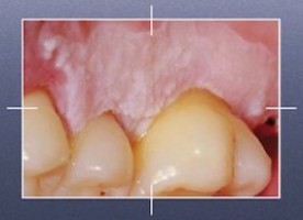
Diagnostic, prévention et traitement des lésions muqueuses de la cavité orale.
Cette formation fait un panorama complet des pathologies de la muqueuse buccale (ou orale) :
- les lésions blanches, rouges, bulleuses, vésiculeuses ...
- les tumeurs bénignes et malignes ... sont décrites et classées à l'aide d'une iconographie exhaustive.
Quelle est la conduite à tenir en fonction de chaque type de lésion indiquée ? Quels examens complémentaires, quelle prescription, quelle prise en charge de la pathologie et du patient ?
La prescription examens complémentaires dont les techniques de biopsie sont enseignées lorsque le diagnostic anatomopathologique s'impose.
L'objectif est de former des professionnels susceptibles de détecter précocement les cancers de la cavité buccale ou les manifestations buccales d'une pathologie générale, soit pour les praticiens.
SOP / ODPC n° 1263 
Action DPC n° 12632325003
Titre : Diagnostic, prévention et traitement des lésions muqueuses de la cavité orale
Session : 23.001
Date : 14-15 décembre 2023
Durée : 14 heures
⇒ Tout savoir sur cette action DPC, inscriptions et modalités
Les points forts de cette formation :
Formeation validante et habilitée DPC
Clinique
Approfondissement
Présentation
Programme et objectifs
Programme scientifique
Tarif, modalités d'inscription et DPC
Information et modalités pratiques
Du 24/03/2023 au 08/12/2023
Diagnostiquer et traiter les pathologies courantes, détecter les lésions cancéreuses ou à potentiel de transformation maligne.
• Structures anatomiques normales, anomalies para-pathologiques.
• Démarche diagnostique ; examen de la cavité buccale ; examens complémentaires ; biopsie.
• Candidoses et herpès.
• Aphtes, aphtoses ; lichen plan ; maladies bulleuses ; gingivites érosives chroniques.
• Notions de manifestations buccales des maladies générales.
• Tumeurs bénignes.
• Cancérologie : lésions à risque potentiel de transformation maligne ; lésions précancéreuses ; cancers ; conséquences des traitements anticancéreux ; soins en ville des patients ayant été traités ou en traitement pour un cancer.
• Notion de sevrage tabagique.
• Xérostomies ; Stomatodynies.
• Affections des glandes salivaires accessoires.
Les points forts de cette formation :
Clinique
Approfondissement
Présentation
Programme
Programme scientifique
Tarif et modalités d'inscription
Informations et modalités pratiques
Du 30/11/2022 au 01/12/2022
DERMATOLOGIE BUCCALE
DEUX JOURS DE FORMATION EN PRÉSENTIEL ET HABILITÉE DPC 2022
Formation DERMATOLOGIE BUCCALE DPC 2022
Diagnostic, prévention et traitement des pathologies des muqueuses buccales
Cette formation fait un panorama complet des pathologies de la muqueuse buccale (ou orale) :
- les lésions blanches, rouges, bulleuses, vésiculeuses ...
- les tumeurs bénignes et malignes ... sont décrites et classées à l'aide d'une iconographie exhaustive.
Quelle est la conduite à tenir en fonction de chaque type de lésion indiquée ? Quels examens complémentaires, quelle prescription, quelle prise en charge de la pathologie et du patient ?
La prescription examens complémentaires dont les techniques de biopsie sont enseignées lorsque le diagnostic anatomopathologique s'impose.
L'objectif est de former des professionnels susceptibles de détecter précocement les cancers de la cavité buccale ou les manifestations buccales d'une pathologie générale, soit pour les praticiens.

Action DPC n° 12632200003
Session n°1 : deux jours les 30/11 et 01/12/2022
Durée : 14 heures de formation en présentiel
Format : formation continue
Période triennale DPC : 2019-2022
Les points forts de cette formation :
Formation validante et habilitée DPC
Clinique
Approfondissement
Présentation
Programme et objectifs
Programme scientifique
Tarif et modalités d'inscription
Information et modalités pratiques
Du 25/03/2022 au 09/12/2022
Diagnostiquer et traiter les pathologies courantes, détecter les lésions cancéreuses ou à potentiel de transformation maligne.
• Structures anatomiques normales, anomalies para-pathologiques.
• Démarche diagnostique ; examen de la cavité buccale ; examens complémentaires ; biopsie.
• Candidoses et herpès.
• Aphtes, aphtoses ; lichen plan ; maladies bulleuses ; gingivites érosives chroniques.
• Notions de manifestations buccales des maladies générales.
• Tumeurs bénignes.
• Cancérologie : lésions à risque potentiel de transformation maligne ; lésions précancéreuses ; cancers ; conséquences des traitements anticancéreux ; soins en ville des patients ayant été traités ou en traitement pour un cancer.
• Notion de sevrage tabagique.
• Xérostomies ; Stomatodynies.
• Affections des glandes salivaires accessoires.
Les points forts de cette formation :
Clinique
Approfondissement
Du 11/06/2021 au 10/12/2021
Diagnostiquer et traiter les pathologies courantes, détecter les lésions cancéreuses ou à potentiel de transformation maligne.
• Structures anatomiques normales, anomalies para-pathologiques.
• Démarche diagnostique ; examen de la cavité buccale ; examens complémentaires ; biopsie.
• Candidoses et herpès.
• Aphtes, aphtoses ; lichen plan ; maladies bulleuses ; gingivites érosives chroniques.
• Notions de manifestations buccales des maladies générales.
• Tumeurs bénignes.
• Cancérologie : lésions à risque potentiel de transformation maligne ; lésions précancéreuses ; cancers ; conséquences des traitements anticancéreux ; soins en ville des patients ayant été traités ou en traitement pour un cancer.
• Notion de sevrage tabagique.
• Xérostomies ; Stomatodynies.
• Affections des glandes salivaires accessoires.
Les points forts de cette formation :
Clinique
Approfondissement
Du 17/01/2020 au 11/12/2020

Équipe pédagogique :
Anne-Laure Ejeil, Didier Gauzeran et Nathan Moreau.
Responsables scientifiques :
Anne-Laure Ejeil et Didier Gauzeran.
Présentation
Programme et Modules
Tarifs et Modalités d'inscription
Du 18/01/2019 au 30/03/2019
Équipe pédagogique :![]()
Anne-Laure Ejeil, Didier Gauzeran Marion Renoux et Nathan Moreau.
Responsable scientifique : Didier Gauzeran.
Du 19/01/2018 au 31/03/2018
Didier Gauzeran, chef de service honoraire des Hôpitaux de Paris, va conduire la seconde édition du cycle de la SOP consacré à la dermatologie orale en pratique généraliste.
L'objectif de ce cycle ventilé en deux modules de deux jours, consistera à intégrer la dermatologie orale dans ses compétences, à se sentir à l’aise face à une lésion buccale.
L’approche pédagogique sera « simple, pratique et didactique ; elle privilégiera les ateliers sur des cas cliniques de tous les jours » explique Didier Gauzeran.
Équipe pédagogique :
Anne-Laure Ejeil, Didier Gauzreran Marion Renoux et Nathan Moreau.
Responsable scientifique : Didier Gauzeran.
Groupe de travail SOP : Anne-Laure EJEIL, Didier GAUZRAN, Corinne LALLAM et Yvan BISMUTH
ATTENTION : ce cycle court en dermatologie orale est COMPLET
( la prochaine et 3ème session se tiendra en 2019 )
> Présentation
> Programme et Modules
> Tarifs et modalités d'inscription
Du 13/01/2017 au 18/03/2017
4 jours
2 modules
janvier et mars 2017
à l'Espace Saint Martin
1ère édition du cycle dermatologie orale
« Il m’arrive souvent de dire à des patients qui me sont adressés pour une lésion suspecte : « Vous avez évité un cancer de la bouche, et c’est à votre chirurgien-dentiste que vous le devez “ »,
explique Didier Gauzeran, chef de service honoraire des Hôpitaux de Paris, qui va conduire le tout nouveau cycle de la SOP consacré à la dermatologie orale en pratique généraliste.
On l’aura compris, l’objectif de ce cycle ventilé en deux modules de deux jours, consistera à intégrer la dermatologie orale dans ses compétences, à se sentir à l’aise face à une lésion buccale. L’approche pédagogique sera « simple, pratique et didactique ; elle privilégiera les ateliers sur des cas cliniques de tous les jours » poursuit Didier Gauzeran.

> Fiche formation du cycle court dermatologie orale 2017 - SOP
Responsable scientifique : Didier Gauzeran.
Groupe de travail SOP : Anne-Laure Ejeil, Didier Gauzeran, Corinne Lallam et Yvan Bismuth.

Attention : les places sont limitées à 30 personnes
Présentation
Programme et Modules
Tarifs et modalités d'inscription
Bulletin d'inscription au Cycle court Dermatologie orale - janvier / mars 2017 - SOP