Le jeudi 21 janvier 2027
Journée de formation continue en présentiel
horaire : 9h00 → 17h30 à l'Espace Saint-Martin Paris 3e
public : Docteurs en chirurgie-dentaire en omnipratique et spécialiste
Le jeudi 15 octobre 2026
Journée de formation continue en présentiel
horaire : 9h00 → 17h30 à l'Espace Saint-Martin Paris 3e
public : Docteur en chirurgie-dentaire en omnipratique et spécialiste
Le jeudi 19 mars 2026
Journée de formation pour les chiurgiens-dentistes en présentiel
horaire : 9h00 → 17h30 à l'Espace Saint-Martin Paris 3e
public : Docteurs en chirurgie-dentaire en omnipratique
Journée de formation RESTAURER LA DENT DEPULPÉE 19 mars 2026
Le jeudi 15 janvier 2026
Journée de formation pour les chiurgiens-dentistes en présentiel
horaire : 9h00 → 17h30 à l'Espace Saint-Martin Paris 3e
public : Docteurs en chirurgie-dentaire en omnipratique et spécialiste
Journée de formation FLUX NUMÉRIQUE le 15 janvier 2026
Le jeudi 12 juin 2025
Journée de formation pour les chiurgiens-dentistes en présentiel
horaire : 9h00 → 17h30 à l'Espace Saint-Martin Paris 3e
public : Docteurs en chirurgie-dentaire en omnipratique
Journée « Écoresponsabies au cabinet dentaire » le 12 juin 2025
Le jeudi 13 mars 2025
Donner aux chirurgiens-dentistes les clés pour comprendre et s'adapter aux nouvelles exigences de prévention des caries chez les jeunes, dans le cadre de la réforme intitulée « Génération sans carie ».
Objectif : informer les chirurgiens-dentistes des enjeux et des pratiques à adopter dans le cadre de cette nouvelle initiative.
horaire : 9h00 → 17h30 à l'Espace Saint-Martin, Paris 3e
public : docteurs en chirurgie-dentaire en omnipratique et spécialisés
Journée de formation « Génération sans nouvelle carie ? 3-24 ans »
Le jeudi 16 janvier 2025
Traitement du secteur antérieur : dent ou implant ; que choisir ?
Réponses le 16 janvier, lors d'une journée exceptionnelle avec pour unique conférencier le Professeur Serge Armand !
9h00 → 17h30 à l'Espace Saint-Martin, Paris 3e
public : docteurs en chirurgie-dentaire en omnipratique
Journée « Dent ou implant avec Serge Armand » 16 janvier 2025
Le jeudi 28 novembre 2024
Séance C44 - jeudi 28 nov. 14h-15h30
Stand 1M18 - ADF expo. niveau 1
La SOP au congrès ADF du 26 au 30 novembre
Séance de formation
au congrès ADF 2024
Le jeudi 12 octobre 2023
Congrès dentaire et action de formation continue
horaire : 9h00 → 17h30 à la Maison de la Chimie 220 places maximum
Journée de formation « L'espace interdentaire »
Restaurer l’espace interdentaire par une approche pluridisciplinaire !
→ Comprendre les spécificités anatomo-physiologiques de l’espace interdentaire ;
→ Maîtriser la démarche diagnostique pour une approche pluridisciplinaire ;
→ Restaurer le point de contact en restauration directe ou indirecte ;
→ Corriger les espaces élargis et diastèmes ;
→ Gérer la papille en implantologie.
Formateurs référents et intervenants :
Disciplines abordées : parodontologie, orthodontie dento-faciale, odontologie conservatrice et implantologie.
Présentation
Programme et objectifs
Programme scientifique
Tarifs et modalités d'inscription
Informations et modalités pratiques
Le jeudi 15 juin 2023
Congrès dentaire et action de formation
horaire : 9h00 → 17h30 à l'espace Saint-Martin ⇒ nouveauté
Journée de formation « Suivez le guide ? »
Objectifs de formation à destination des omnipraticiens :
- Savoir mener un acte chirurgical, prothétique ou conservateur conforme au projet planifié en se fiant aux guides et au sens clinique ;
- Gérer les cas esthétiques en évitant les surpréparations dentaires ;
- Optimiser la planification des aligneurs ;
- Prévoir et gérer les risques de fractures mandibulaires lors d’une avulsion.
Formateurs référents et intervenants :
Disciplines abordées : chirurgie orale, implantologie, prothèse, occlusion, odontologie conservatrice, ODF.
Présentation
Programme et objectifs
Programme scientifique
Tarifs et modalités d'inscription
Informations et modalités pratiques
Le jeudi 11 mai 2023
Congrès dentaire et journée de formation continue
horaire : 9h00 → 17h30 à la Maison de la Chimie
Journée de formation « Bruxismes »
Objectifs de formation à destination des omnipraticiens :
→ Comprendre les différentes formes de bruxisme
→ Savoir corréler bruxisme et comorbidités
→ Maîtriser les diverses formes de prise en charge du bruxisme
→ Savoir restaurer les dents présentant des usures pathologiques sans être iatrogène![]()
Disciplines abordées : occlusodontologie, troubles du sommeil, prothèse, odontologie conservatrice, numérique.
Formateurs référents et intervenants :
Dr. Emmanuel d’Incau, Pr. Maria-Clotilde Carra, Pr. Jean-Daniel Orthlieb et Dr. Sébastien Felenc
Présentation
Programme et objectifs
Programme scientifique
Tarifs et modalités d'inscription
Informations et modalités pratiques
Le jeudi 30 mars 2023
Congrès dentaire et action de formation continue
horaire : 9h00 → 17h30 à la Maison de la Chimie
Journée de formation « Le MIH deviendra grand »
Appréhender les traitements des hypominéralisations molaires et incisives chez les patients jeunes et adultes.
Comprendre l'origine des MIH, maîtriser les traitements de l'enfance pour mieux soigner les adultes.
Journée de formation continue du 30 mars 2023 sur le « LE MIH DEVIENDRA GRAND »
Disciplines abordées : omnipratique, odontologie pédiatrique, esthétique, prothèse, restauratrice.
Formateurs référents et conférencier(e)s :
Docteurs Romain Ceinos, Elsa Garot, Lea Massé, Caroline Leverd, Mathilde Jalladaud.
Public concerné : docteur en chirurgie-dentaire, assistant(e) dentaire
![]()
La MIH ou "Molaires Incisives Hypominéralisation" est un défaut de minéralisation de l’émail des dents.
Responsable scientifique : Docteur Romain Jacq (entretien à lire)
Groupe de travail SOP : Docteurs Sylvie Saporta, Julien Thomas et Marc Roché.
Présentation
Programme et objectifs
Programme scientifique![]()
Tarif et modalités d'inscription
Informations et modalités pratiques
Le jeudi 19 janvier 2023
Congrès dentaire et action de formation continue
9h00 → 17h30 à la Maison de la Chimie
Journée de formation « Entendre, comprendre, se faire comprendre »
Disciplines abordées : communication, psychologie comportementale, clinique.
Formateurs référents et intervenants :
M. Laurent Colineau (entretien à lire), Dr Matthias Rzeznik (entretien à lire), Dr Sébastien Jungo et Dr Alexandra Pavard.
Programme et objectifs pédagogiques :
• Adapter sa communication selon le profil psychologique des patients et des membres de l’équipe.
• Reconnaître les signes de stress et répondre aux besoins psychologiques de chaque profil.
• L’éducation thérapeutique et l’adhésion du patient au plan de traitement, notamment en parodontie.
• Traitement esthétique : la bonne communication.
• Logiciels de design de sourires à partir de photographies : poser le bon cadre.
Responsable scientifique SOP : Docteur Mathilde Jalladaud
Groupe de travail de la SOP : Docteurs Chloé Barbant (interview à lire), Sylvie Saporta et Marc Roché.
Présentation
Programme et objectifs
Programme scientifique
Tarifs et modalités d'inscription
Informations et modalités pratiques
Le jeudi 16 juin 2022
9h00 - 17h30 à la Maison de la chimie
7 heures de formation continue en présentiel
à destination des chirurgiens-dentistes ominipraticiens
Journée de formation continue « Première prémolaire maxillaire »
Journée de formation du jeudi 16 juin 2022
« Première prémolaire maxillaire : dent stratégique ou sacrifiée ? »
Disciplines abordées : orthodontie, occlusion, restauratrice, chirurgie parodontale et implantaire.
Objectifs pédagogiques
Donner les éléments qui permettront :
- Définir les avulsions orthodontiques nécessaires.
- Établir les causes de vulnérabilité des premières prémolaires maxillaires.
- Conserver les dents compromises.
- Remplacer les dents extraites.
- Définir les obstacles à la pose d’un premier implant.
Formateurs référents et intervenants : Pr Jean-Daniel Orthlieb et Dr Estelle Casazza (excusée) , Dr Franck Decup, Dr Christophe Dunglas et Dr Harmik Minassian.
Présentation
Programme formation
Programme scientifique
Tarif et modalités d'inscription
Informations et modalités pratiques
Le jeudi 19 mai 2022
9h00 - 17h30 à la Maison de la chimie
durée : 7 heures de formation continue en présentiel
public : chirurgien-dentiste ominipraticien avec pass sanitaire
Journée de formation « Traiter les DDTM »
![]()
Journée de formation du jeudi 19 mai 2022 « Traiter les DDTM : mode d'emploi »
Formateurs référents et intervenants multidisciplinaires :
- Pr Jean-Daniel Orthlieb (chirurgien-dentiste) → entretien à lire
- Pr Olivier Robin (chirurgien-dentiste) → entretien à lire
- Dr Jean-Philippe Ré (chirurgien-dentiste) → entretien à lire
- Dr Jean-François Carlier (chirurgien-dentiste) → entretien à lire
- Mme Inès Demonceaux (kinésithérapeute)
- Mme Sylvie Lapierre (kinésithérapeute)
Disciplines abordées : occlusodontie, pathologie, physiologie, pharmacologie et urgence
Présentation
Programme formation
Programme scientifique![]()
Tarifs et modalités d'inscription
Informations et modalités pratiques
Le jeudi 24 mars 2022
9h00 - 17h30 à la Maison de la chimie
durée : 7 heures de formation continue en présentiel
public : docteurs en chirurgie-dentaire, en médecine, ORL,
ostéopathes et kinésithérapeutes, ominipraticien avec pass sanitaire
Journée de formation « Dépister, traiter l'apnée du sommeil »
Journée de formation continue du jeudi 24 mars 2022
« Dépister, traiter l'apnée du sommeil »
Disciplines abordées : médecine du sommeil, ORL, odontologie pédiatrique, orthodontie, occlusodontologie, prothèse
Public concerné : docteur en chirurgie-dentaire, assistant(e) dentaire, docteur en médecine (ORL, pneumologie, pédiatrie, pneumo-pédiatrie), kinésithérapeute et ostéopathe.
Formateurs référents et intervenants :
- Dr Guillaume Aubertin (pneumo-pédiatre)
- Dr Cindy François (odontologiste)
- Dr Mai-Khanh Lê-Dacheux (orthodontiste)
- M. Nicolas Rousseau (kinésithérapeute)
- Dr Laurent Yona (médecin O.R.L.)
Responsable scientifique : Dr Romain Jacq et Dr Marc Roché
Groupe de travail SOP : Pr Frédéric Chabolle, Dr Isabelle Buchet, Dr Meyer Fitoussi, Dr Romain Jacq et Dr Marc Roché
Présentation
Programme et objectifs
Programme scientifique![]()
Tarif et modalités d'inscription
Informations et modalités pratiques
Le jeudi 20 janvier 2022
Journée de formation à destination des omnipraticiens
9h00 - 17h30 à la Maison de la chimie
durée : 7 heures de formation continue en présentiel
public : chirurgien-dentiste ominipraticien
LE RETRAITEMENT : Conserver ou innover ? mode d'emploi le 20 janvier
Objectifs de cette journée de formation à destination des omnipraticiens :
• Replacer l’examen clinique et l’anamnèse à la base des choix thérapeutiques.
• À partir de cas cliniques, définir le juste traitement en adéquation avec la demande et l’histoire du patient.
• Actualiser les restaurations tout en prolongeant les solutions pérennes.
Formateurs référents et intervenants
par ordre d'intervention et sujets abordés :
- Dr Michel Bartala / anamnèse et prothèse : examen et options thérapeutiques
- Dr Catherine Galletti / orthodontie : apport de l’orthodontie dans la simplification et la pérennisation
- Dr Cédrik Bernard / odontologie conservatrice : approche biomimétique et adhésive en restauratrice
- Dr Marwan Daas / prothèse sur implant CFAO : traitements implantaires des édentements complets
Disciplines abordées : orthodontie, odontologie conservatrice, prothèse fixée, prothèse sur implants et prothèse complète
Présentation
Programme de formation
Tarifs et inscription
Information et modalités pratiques
Le mercredi 15 décembre 2021
Journée de formation à destination des omnipraticiens
9h00 - 17h30 à la Maison de la Chimie
durée : 7 heures de formation continue en présentiel
public : chirurgien-dentiste ominipraticien avec pass sanitaire
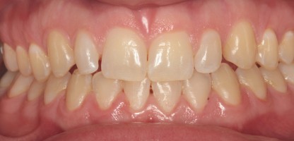
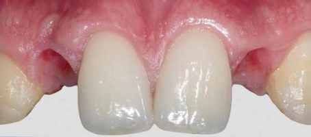
Journée de formation « Incisive centrale : restauration et esthétique » ![]()
FRACTURE, LUXATION, ANOMALIE DE STRUCTURE :
TRAITER LES PATHOLOGIES DE L'INCISIVE CENTRALE
Disciplines abordées : traumatologie, endodontie et esthétique.
Objectifs de cette journée de formation à destination des omnipraticiens :
• Comprendre les enjeux de la prise en charge esthétique et fonctionnelle de l’incisive centrale maxillaire centrale en cas de traumatologie ou d’anomalie de structure.
• Restaurer l’incisive centrale selon le gradient thérapeutique de préservation des tissus.
• Mettre en œuvre les techniques endodontiques d’une incisive en considérant les conséquences biologiques et esthétiques des traitements.
Présentation
Programme de formation
Tarif et inscription
Information et modalités pratiques
Le jeudi 25 novembre 2021
Séance de formation des nouveautés de la SOP à destination des omnipraticiens
⇒ JEUDI 25 NOVEMBRE ⇒ 14h00 → 15h30 ⇒ CODE SÉANCE C53
Stand d'exposition de la SOP au Congrès ADF 2021
⇒ 23-27 NOVEMBRE ⇒ 9h00 → 18h00 ⇒ STAND EXPO. 1M22
Résines injectées et esthétique à la séance de la SOP à l’ADF 2021
LES RÉSINES INJECTÉES, UNE NOUVELLE APPROCHE DANS L'ESTHETIQUE DU SOURIRE
Accéder à une solution novatrice pour gérer le sourire des patients :
• Découvrir une solution novatrice pour gérer le sourire de ses patients
• En connaître les indications, les avantages mais aussi les limites et difficultés
• Acquérir les connaissances nécessaires pour guider son prothésiste
• Être en capacité de débuter sereinement avec cette technique
Séance de formation de la
: jeudi 25 novembre de 14h00 à 15h30 // séance ADF code C53
Stand d'exposition de la
: 4 jours du Congrèes ADF 2021 // stand ADF n° 1M22
ouvert du mercredi 23 au samedi 27 novembre // Palais des Congrès - porte Maillot - 75017 PARIS
Présentation
Introduction
Programme
Exposition Stand SOP
Planning des Rencontres
Tarif et inscription
Lieu de formation
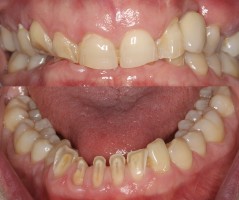
Le jeudi 14 octobre 2021
Journée de formation à destination des omnipraticiens ![]()
9h00 - 17h30 à la Maison de la Chimie
durée : 7 heures de formation continue en présentiel
public : chirurgien-dentiste ominipraticien avec pass sanitaire
Objectifs de cette journée de formation à destination des omnipraticiens :
• Diagnostic et indicationsPrise de décision
• Dépose des restaurations corono-radiculaire
• Désobturation et recherche de la perméabilité apicale
• Gestion des complications
Présentation
Programme et objectifs
Tarifs et modalités d'inscription
Informations et modalités pratiques
Le jeudi 17 octobre 2019

Les clés pour se libérer des mauvaises décisions, c'est le 17 octobre !
Un plan de traitement initial qui prend une mauvaise orientation ou qui n’est plus adapté à la situation, mais que nous continuons obstinément à suivre ; un canal radiculaire complexe – dû à une courbure, une calcification – devant lequel il faudrait modifier notre technique ou nos instruments, ou arrêter le traitement, mais que nous poursuivons jusqu’à faire fausse route, les exemples sont légions. Quelle que soit notre discipline, nous faisons tous des erreurs, dont les conséquences sont plus ou moins graves. Elles résultent de décisions absurdes prises malgré nos compétences et notre rigueur.
Quels sont les principes et les comportements qui nous conduisent à prendre de telles décisions et comment les rectifier ?
Conferencier(e)s par ordre alphabétique :
Responsable scientifique : Philippe Milcent (entretien à lire en bas de page)
Groupe de travail : Marc Roché, Mathilde Jalladaud et Bertrand Tervil
Le jeudi 13 juin 2019
Comprendre et traiter les migrations et déplacements dentaires
Conferencier(e)s par ordre alphabétique :
Responsable scientifique : Bernard Schweitz (entretien à lire)
Groupe de travail : Romain Jacq, Marc Roché et Sylvie Saporta.
Le jeudi 29 mars 2018
Cli-nique !
La Journée du 29 mars 2018 intitulée « Prises de décisions difficiles : allons à l’essentiel » sera résolument clinique avec un contenu très pratique et très omnipratique.
Face à une carie à un stade avancé, sur quels critères cliniques s’appuyer pour conserver la vitalité pulpaire ?
Doit-on réaliser l’extraction prophylactique des dents de sagesse ?
Dans quelle(s) situation(s) préfère-t-on un matériau composite plutôt qu’une céramique lors de la réalisation d’inlays/onlays ?
Voilà quelques unes des questions qui se posent au quotidien d’une pratique généraliste pour lesquelles la réponse n’est pas évidente au regard de nos compétences et de notre expérience.

Benoît Brochery, Guillaume Couderc, Emmanuel D’Incau,
Charles Micheau, Gaël Millot, David Nisand, Sylvie Pereira,
Philippe Rosec, Stéphane Simon et Charles Toledano.
Corinne Lallam, Marc Roché et Bernard Schweitz.
Cette formation est en cours d'habilitation pour votre DPC année 2018,
sous réserve de l'Agence nationale du DPC (AnDPC).
Référence Action DPC n° 12631800004 Session n° 1 ... ouverture des inscritpions à partir le jeudi 15 mars
> Déclarations d'intérêts des intervenants à lire en bas de page
> Présentation
> Programme
> Tarifs et modalités d'inscription
> Bulletin d'inscription « Prises de décisions difficiels » 29 mars 2018 - SOP
> Fiche formation « Prises de décisions difficiels » 29 mars 2018 - SOP
Le jeudi 01 juin 2017
> nouveauté
> nouveauté
> nouveauté
> nouveauté Coordinateur des Travaux Pratiques et Travaux Dirigés pour la SOP : Dr Philippe Chalanset.
> Présentation
> Programme de la séance
> Tarifs et modalités d'inscription
> Bulletin d'inscription Séance des TP & TD [ 1er juin 2017 ] SOP
> Plaquette de présentation des TP & TD - 01.06.2017 - SOP
Du 22/11/2016 au 26/11/2016
A l'ADF, faites le point sur les nouveautés avec la SOP.
Cette année, l'ADF donne rendez-vous à toute la profession dentaire du 22 au 26 novembre, au Palais des Congrès de Paris, Porte Maillot.
La séance SOP vous invite à visiter son Stand et assister à la Séance des nouveautés.
ADF thème de l'année 2016 : « Votre Santé Notre Priorité »
La SOP fera le point sur des matériaux et techniques qui révolutionnent l’endodontie et, plus largement, notre pratique généraliste le 24 novembre à l’ADF.
Au programme :
Système Pro-Taper Gold, laser Er-Yag en endodontie, ciments tricalciques, hypnose.
Date : jeudi 24 novembre à 14 h - 17 h, numéro de salle à venir...
Code ADF : séance C69.
Responsable de la Séance de la SOP : Chloé Barbant ( interview ici )
> LA SÉANCE DES NOUVEAUTÉS DE LA SOP
> PROGRAMME DES SEANCES DU CONGRES ADF
Le jeudi 12 mai 2016
En 2016, la Journée TP & TD aura lieu le jeudi 12 mai.
Le millésime 2016 des TP et TD de la SOP s’enrichit de quatre nouveautés « Composites antérieurs », sous la responsabilité scientifique de Frédéric Raux, « Gestion du risque du Burn-out » dirigé par Marie Claire théry-Hygly, « Endodontie : système RACE-FKGACTEON » sous la responsabilité scientifique de Bertrand Khayat, et « Apport de l’hypnose en omnipratique » conduit par Xavier Pénin.
Améliorer son geste et/ou son approche théorique et pratique dans les domaines actuels de la pratique généraliste.
Tel est l’objectif de la Journée TP & TD de la SOP.
Avec, au sein de chaque TP ou TD, des groupes animés par une équipe d'enseignants expérimentés.
Une formation clinique complète pour vous conduire au geste juste.
TP1 - Prothèses sur implants / fiche formation![]()
TP2 - Inlays-onlays collés / fiche formation ![]()
TP3 - Composites antérieurs / fiche formation
Nouveauté 2016
TP4 - Pédodontie / fiche formation![]()
TP5 - Cfao - plus d'info / fiche formation ![]()
TP6 - Imagerie 2D 3D / fiche formation ![]()
TP7 - Chirurgies parodontales / fiche formation![]()
TP8 - Occlusodontie / fiche formation ![]()
TD9 - Stérilisation / fiche formation
> TP COMPLET
TD10 - Gestion du risque de Burn out / fiche formation
Nouveauté 2016
TP11 - Endodontie : système RACE - FKG - ACTEON / fiche
Nouveauté 2016 > TP COMPLET
TP12 - L’apport de l’hypnose en omnipratique / fiche
Nouveauté 2016 > TP COMPLET
Exposition ouverte à tous les professionnels.
Coordinateur des Travaux Pratiques et Travaux Dirigés pour la SOP : Dr Philippe Chalanset.
> Tarifs et modalités d'inscription
> Télécharger le Bulletin d'inscription Séance des 12 TP & TD [ 12 mai 2016 ] SOP
> Télécharger le compte-rendu de la séance 2014 des 12 TP & TD de la SOP
Du 26/11/2015 au 28/11/2015
Matériaux Bulk, protocole Digital Smile Design, dentisterie numérique et esthétique.
Cette année, la séance des nouveautés de la SOP au congrès de l’ADF livrera un avant-goût des pratiques de la médecine dentaire de demain.
La médecine dentaire de demain, cela commence le jeudi 26 novembre à 9 heures, lors de la séance des nouveautés de la SOP, au congrès de l’ADF.
Quatre conférenciers chercheurs et cliniciens, experts dans leur domaine, viendront présenter des matériaux, des matériels, des concepts et des protocoles qui vont révolutionner notre pratique dans un futur très proche.

Anne Raskin : Les résines composites Bulk
Cyril Gaillard : L’esthétique, la fonction, la biologie au service de nos patients
Renaud Noharet : Digital Smile Design au quotidien
Christian Moussally : L’implantologie assistée par ordinateur
Responsable scientifique de la séance : Philippe Milcent ( lire son interview en bas de page )
> LA SÉANCE DES NOUVEAUTÉS DE LA SOP

La séance aura lieu le jeudi 26 novembre de 9 h 00 à 12 h 00 au Palais des Congrès de Paris.
Code ADF de la séance : C 47
> Présentation de la séance des nouveautés 
> Télécharger la Présentation de la Séance de la SOP au congrès de l'ADF 2015
Nouveauté
> Tarif et modalité d'inscription pour la séance des nouveautés SOP au congrès de l'ADF

Cette année, l'ADF donne rendez-vous à toute la profession dentaire du 24 au 28 novembre, au Palais des Congrès de Paris, Porte Maillot.
> Voir le Programme du Congrès ADF 2015 
Emplacement du Stand SOP : n° 1M18 - niveau 1
Nouveauté : l'exposition et le programme scientifique débuteront en même temps, le mardi 24 novembre.
Voir le compte-rendu de la séance SOP au Congrès de l'ADF 2014 
Télécharger le compte-rendu de la Seance SOP au Congrès ADF 2014 
Le jeudi 21 mai 2015
« Améliorer son geste et/ou son approche théorique et pratique dans les domaines actuels de la pratique généraliste. »
Tel est l’objectif de la Journée TP & TD de la SOP. Le programme de l’édition 2015 de cette Journée est bouclé, et les responsables scientifiques peaufinent leurs ateliers, qui feront l’objet d’une présentation détaillée à partir de janvier 2015.
Au sein de chaque TP ou TD, des groupes animés par une équipe d'enseignants expérimentés.
Une formation clinique complète pour vous conduire au geste juste.
Avec trois nouveautés. En 2015, la Journée TP & TD aura lieu le jeudi 21 mai.
TP 2 – Reconstitutions corono-radiculaires ![]()
TP 3 – Inlays, onlays et overlays ![]()
TD 4 – Les composites postérieurs. Méthode directe
Nouveauté 2015
TP 5 – Pédodontie
Nouveauté 2015
TP 6 – CFAO et empreinte optique ![]()
TP 10 – Chirurgies parodontales ![]()
TD 11 – La stérilisation au cabinet dentaire * ![]()
TD 12 – Occlusodontie
Nouveauté 2015
* Pour le TD 11, le binôme praticien-assistante est fortement recommandé ( voir le Tarif spécial ).
Exposition ouverte à tous les professionnels.
Coordinateur des Travaux Pratiques et Travaux Dirigés pour la SOP : Dr Philippe Chalanset.
Présentation
Programme de la séance
Tarifs et modalités d'inscription
Le jeudi 27 novembre 2014
"Les nouveaux conects " est le thème de la prochaine séance de la SOP, présentée au prochain congrès de l'ADF.
Toujours pésente à ce rendez-vous, la SOP vous acceuille aussi à son Stand 1M16, situé au 1er étage.
La séance scientifique de la SOP se tiendra le jeudi 27 novembre de 9h à 11h30.
Numéro ADF séance scientifique S.O.P. : conférence C60 . > pour en savoir plus : cliquez-ici
Avec pour objectifs de confirmer les données cliniques nouvelles et d'améliorer les acquis récents, la conférence SOP est intitulée : "Les nouveaux concepts".
Les conférenciers, qui interviendront lors de la séance de la SOP à l’ADF, mettront l’accent sur des concepts thérapeutiques en implantologie, en endodontie et en odontologie conservatrice.

Les objetcifs de la séance :
• Mettre l’accent sur des concepts thérapeutiques en implantologie, en endodontie et en odontologie conservatrice
• Mettre en œuvre une thérapie immédiatement applicable grâce aux outils, appareils et technologies récentes.
Les trois conférenciers : Gilles Tirlet, Stépahne Simon et David Nisand .
Responsable scientifique : Philippe Milcent ( lire son interview en bas de page : cliquez-ici )
Pour en savoir plus : cliquez-ici
Le stand se tiendra au 1er étage, à l’emplacement n° 1M16.
N’hésitez pas à venir vous y informer sur notre programme de formations 2015.
Pour en savoir plus : cliquez-ici
Le congrès de l'ADF aura pour thème cette année : "La bouche, l'expresion de notre santé" .
Le jeudi 22 mai 2014
Au sein de chaque TP ou TD,
des groupes animés par une équipe d'enseignants expérimentés.
Une formation clinique complète pour vous conduire au geste juste.
Liste des 12 Travaux Pratiques et Travaux Dirigés :
TP 2 – Reconstitutions corono-radiculaires
TP 3 – Inlays, onlays et overlays
TD 4 – L'éducation thérapeutique du patient NOUVEAUTÉ
TP 5 – Prothèse conjointe : les préparations pour prothèses céramo-céramiques
TP 6 – CFAO et empreinte optique [ TP COMPLET ]
TP 7 – Dépose des éléments prothétiques et retrait d'instruments fracturés
TP 8 – Imagerie 2D et 3D __ [ TP COMPLET ]
TD 9 – La prise de décision NOUVEAUTÉ
TP 10 – Les chirurgies parodontales
TD 11 – La stérilisation au cabinet dentaire NOUVEAUTÉ
TD 12 – Posturologie & Ergonomie NOUVEAUTÉ [ TP COMPLET ]
Exposition ouverte à tous les professionnels.
Coordinateur des Travaux Pratiques et Travaux Dirigés pour la SOP : Dr Philippe Chalanset.
Présentation
Programme
Tarifs et modalités d'inscription
Télécharger le bulletin d'inscription des TP et TD [ 22 mai 2014 ]
Télécharger le compte-rendu de la séance 2013 des Travaux Pratiques de la SOP
Le jeudi 24 mars 2005
Comme vous pourrez le lire, tout laisse à penser que la matière traitée sera très riche d'enseignements cliniques et pratiques pour aborder le problème toujours embarrassant des migrations et des déplacements dentaires. Sur ces objectifs est organisé le prochain séminaire.
La Journée se déroulera selon le protocole que nous décrivons ici.
Dès l'ouverture, et avec la « consultation », nous présenterons les cas cliniques qui seront traités au cours de la journée.
C'est dire que si vous ratez le début, vous ne saisirez pas l´importance des séquences qui aboutissent au projet thérapeutique !
Cinq conférencier(e)s exceptionnel(le)s :
